What Are The First Signs Of Hip Dysplasia In Dogs? Early Detection Saves Mobility

What Are The First Signs Of Hip Dysplasia In Dogs? Early Detection Saves Mobility

Have you noticed your once-bouncy canine companion moving a little stiffly lately? Perhaps they’re hesitant to jump onto the couch or seem to skip a step when running. What are the first signs of hip dysplasia in dogs? This isn’t just normal aging—it could be the subtle beginning of a painful and progressive joint condition. Hip dysplasia is one of the most common skeletal diseases in dogs, affecting millions worldwide. The critical truth? The earlier you spot the warning signs, the more you can do to preserve your dog’s comfort, mobility, and quality of life for years to come. Ignoring the initial whispers of this condition often means facing a louder, more painful roar later. This guide will walk you through every early indicator, so you can become your dog’s first and most important health advocate.

Understanding Hip Dysplasia: More Than Just "Bad Hips"

Before diving into the signs, it’s essential to understand what you’re looking for. Canine hip dysplasia (CHD) is a developmental condition where the ball-and-socket joint of the hip doesn’t fit together snugly. Instead of a smooth, congruent fit, the "ball" (the femoral head) is too small or misshapen for the "socket" (the acetabulum), or the socket itself is too shallow. This laxity leads to abnormal wear and tear, inflammation, pain, and eventually, osteoarthritis.

It’s primarily a genetic condition, influenced by multiple genes, but environment plays a massive role in its expression. Factors like rapid growth in puppies (often from overfeeding or high-calorie diets), excessive exercise on hard surfaces during development, and obesity can dramatically worsen the severity in a genetically predisposed dog. Breeds like Labrador Retrievers, German Shepherds, Golden Retrievers, and large, giant breeds are statistically at higher risk, but any dog, of any size, can develop hip dysplasia. The condition is present from birth but the clinical signs often emerge as the dog matures and the joint degenerates. Recognizing the first signs—which can be incredibly subtle—is the key to proactive management.

The 7 Earliest Warning Signs of Hip Dysplasia in Dogs

Spotting hip dysplasia early requires a keen eye and an understanding of what "normal" looks like for your specific dog. The initial symptoms are often mistaken for simple soreness, laziness, or the quirks of an aging pet. Here are the seven most common first signs, expanded with detail on what to watch for.

1. Subtle Limping or Favored Gait (Intermittent Lameness)

This is often the very first red flag, but it’s easily missed because it’s intermittent. Your dog might not limp consistently. You might see it:

  • After a long walk or a day of increased activity.
  • First thing in the morning after rising.
  • On specific surfaces like slippery floors or cold concrete.
  • Only on one hind leg initially, though it often becomes bilateral (both hind legs) as the condition progresses.

What it looks like: The limp might be a slight "skip" in the stride, a momentary hesitation, or a subtle head bob as they shift weight off the painful hip. They may not even put full weight on the limb. Crucially, this isn’t an injury-related limp from a specific trauma; it’s a recurring pattern linked to activity and rest.
Actionable Tip: Videotape your dog walking and trotting from the side and behind on a leash. Compare the symmetry of their gait over weeks. A slight asymmetry or "hitching" motion is a reason to consult your veterinarian.

2. Difficulty Rising from a Lying Position ( "Bunny Hop" on Start-Up)

Watch your dog when they get up from their bed, a rug, or the floor. A dog with early hip pain will often struggle to rise smoothly. You might see:

  • A rocking motion as they push themselves up.
  • They may use their front legs to "walk" themselves upright.
  • Once moving, they may take a few stiff, short steps before the joints "warm up" and the gait normalizes slightly. This is the classic "bunny hop" where they move both hind legs together in a stiff, hopping motion, especially when first starting to move or going up stairs.
  • Reluctance to lie down in the first place, or choosing to stand/sit more often.

Why it happens: The hip joint is stiff and painful after prolonged rest. The synovial fluid (joint lubricant) needs movement to circulate properly. The initial "break-in" period is the most uncomfortable.
What to do: Note how long it takes them to get up. Is it a slow, deliberate process? Do they whine or grunt? These are all signs of discomfort.

3. Decreased Activity and Reluctance to Exercise

This sign is insidious because it’s often attributed to a dog "maturing" or becoming "lazy." Look for a gradual decline in enthusiasm for activities they once loved.

  • Hesitation or refusal to jump into the car or onto furniture.
  • Avoiding stairs or taking them one at a time, slowly.
  • Cutting playtime short; wanting to lie down during a game of fetch.
  • Seeming "tired" after minimal exertion.
  • Choosing slower, more deliberate walking routes on walks instead of their usual energetic pace.

The key distinction: This isn’t just a preference for napping. It’s an active avoidance of movements that they associate with hip pain. They are self-modifying their behavior to prevent discomfort.
Pro Tip: Compare current behavior to 3-6 months ago. Has the sparkle in their eye for a walk diminished? Are they the last one to the door when you get the leash?

4. Stiffness After Rest or In Cold Weather

Joint stiffness is a hallmark of arthritis, which is the end result of hip dysplasia. However, stiffness after periods of rest (like overnight or after a long nap) can be one of the very first indicators of underlying joint inflammation and instability.

  • Your dog may be stiff and slow for the first 10-15 minutes after waking.
  • Cold, damp weather often exacerbates joint pain, so you might notice a seasonal pattern to their stiffness or reluctance.
  • They may stretch more elaborately upon rising, trying to alleviate the discomfort.

What’s happening: Inflammation builds up in the unstable joint during inactivity. Movement helps pump out inflammatory byproducts and bring in lubricating fluid, so the stiffness often improves with gentle motion.
Owner Insight: Keep a simple log. Does your dog seem more "creaky" on chilly mornings? This pattern is a significant clue.

5. "Bunny Hopping" Gait During Movement

While related to the difficulty rising, the bunny hop gait is a specific movement pattern seen during trotting or running. Instead of the normal alternating hind leg movement, the dog holds both hind legs stiffly underneath and moves them in unison, hopping slightly.

  • It’s most obvious when your dog is trotting or running across a yard.
  • It’s a compensatory mechanism to minimize the painful grinding and rotation in the dysplastic hip(s).
  • It can start very subtly and become more pronounced over time.

Why it’s a red flag: This gait is abnormal and inefficient. It places abnormal stress on other joints (like the stifle/knee and spine) and is a clear sign the hindquarters are not functioning correctly. It is rarely seen in healthy dogs.
How to spot it: Get down on the ground and watch your dog trot past you from behind. Do their hind legs move independently, or in a stiff, paired motion?

6. Muscle Atrophy in the Hindquarters

This is a slightly later sign but a critical one that owners can easily monitor at home. Due to disuse and pain, the major muscle groups of the hind legs—particularly the thigh (quadriceps) and gluteal muscles—begin to shrink and waste away.

  • Compare the circumference of both thighs by gently feeling (or measuring with a tape measure) at the same point above the knee.
  • Look at your dog from behind. Is one hind leg visibly thinner or less muscular than the other?
  • The spine and hip bones may become more prominent as muscle padding diminishes.

The vicious cycle: Pain leads to less use, which leads to muscle loss. Less muscle means less support and stability for the already compromised hip joint, which leads to more pain and faster degeneration. Early detection before significant atrophy occurs is ideal.
Check-up: Incorporate a monthly "muscle check" into your grooming routine. Feel your dog’s hindquarters regularly to establish a baseline for what’s normal for them.

7. Pain on Manipulation or Vocalization

In more advanced early stages, you might elicit a pain response simply by handling your dog’s hips.

  • When petting or grooming the hip area, does your dog flinch, tense up, growl, or move away?
  • Does it hurt them when you gently extend their hind leg backward (a motion that stretches the hip joint)?
  • Do they whine, yelp, or snap if the hip is bumped or manipulated accidentally?
  • Some dogs become irritable or grumpy when touched in the hip region.

Important Note: Never force manipulation. A gentle, observant check is sufficient. A painful response is a definitive sign that something is wrong and warrants immediate veterinary attention. This sign often correlates with significant inflammation or joint damage.

When to See the Vet: Diagnosis is Key

If you observe any combination of the signs above, schedule a veterinary appointment. Do not dismiss them as "just old age." Early diagnosis changes everything.

What to expect at the vet:

  1. Physical Exam: The vet will perform a comprehensive orthopedic exam, including manipulation of the hips to assess range of motion, pain, and joint laxity (the " Ortolani sign").
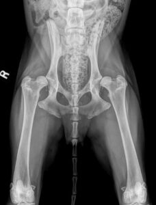
  2. Radiographs (X-rays): This is the definitive diagnostic tool. Your dog will be sedated or anesthetized to get clear, stress-free views of the hip joints. The vet will look for signs like a shallow socket, flattened femoral head, osteoarthritis (bone spurs), and joint incongruity.
  3. Grading: Hip dysplasia is typically graded on a scale (like the OFA or PennHIP systems). Understanding the grade helps determine prognosis and treatment.
  4. Rule Outs: The vet will also check for other conditions that mimic hip dysplasia, such as cauda equina syndrome, stifle (knee) injuries, or spinal issues.

Bring your videos! Showing the vet clips of your dog’s gait, getting up, or bunny-hopping is incredibly valuable and provides a real-world view of the problem.

Managing the Diagnosis: From Conservative Care to Surgery

A diagnosis of hip dysplasia is not a death sentence for your dog’s mobility. It’s a starting point for a management plan. Treatment is tailored to the dog’s age, weight, severity of dysplasia, and owner resources.

Conservative (Non-Surgical) Management

This is the first line for mild cases or as a lifelong strategy for many dogs.

  • Weight Management: This is the single most important factor. Every extra pound puts devastating pressure on already compromised hip joints. A lean body condition dramatically reduces pain and slows degeneration.
  • Controlled Exercise: Short, frequent leash walks on soft surfaces (grass, dirt) are ideal. Avoid high-impact activities like jumping, frisbee, or running on hard pavement. Swimming and underwater treadmill therapy are gold-standard low-impact exercises that build muscle without joint stress.
  • Pain & Inflammation Management: Your vet may prescribe NSAIDs (Non-Steroidal Anti-Inflammatory Drugs), joint supplements (like glucosamine, chondroitin, and MSM), or newer modalities like polysulfated glycosaminoglycan (Adequan) injections.
  • Physical Therapy & Rehab: A certified canine rehabilitation therapist can design a program with targeted exercises, laser therapy, and massage to maintain muscle mass and joint mobility.
  • Comfortable Environment: Provide orthopedic beds, ramps for furniture and cars, and non-slip flooring (rugs, yoga mats) to prevent slips and falls.

Surgical Options

For moderate to severe cases, especially in younger dogs, surgery can offer significant pain relief and improved function.

  • Juvenile Pubic Symphysiodesis (JPS): For puppies (3-5 months), this procedure alters growth to improve hip conformation.
  • Triple Pelvic Osteotomy (TPO): For younger dogs with good cartilage but a shallow socket, this reorients the socket to better cover the ball.
  • Femoral Head Ostectomy (FHO): Removes the ball of the femur; the body forms a "false joint" of scar tissue. More common in smaller breeds or when arthritis is severe.
  • Total Hip Replacement (THR): The most advanced option, replacing both sides of the joint with prosthetic implants. Excellent for severe arthritis, often in older, active dogs.

The decision for surgery involves careful discussion with your vet and a veterinary surgeon, weighing cost, recovery time, and expected outcomes.

Proactive Steps for At-Risk Breeds and Puppies

If you own a breed prone to hip dysplasia or are getting a new puppy, you can take proactive steps.

  • Choose breeders wisely: Reputable breeders screen their breeding dogs for hip dysplasia through organizations like the Orthopedic Foundation for Animals (OFA) or PennHIP. Ask to see the hip scores of both parents. Look for "Excellent," "Good," or "Fair" OFA ratings.
  • Control puppy growth: Feed a high-quality diet formulated for your puppy’s expected adult size. Use portion control to prevent rapid weight gain. Giant breed puppies often need specific formulas.
  • Gentle exercise: Avoid forced running, jumping from heights, or excessive stair climbing during the first 12-18 months of life while joints are developing. Opt for multiple short, gentle play sessions on soft grass.
  • Maintain lean condition: Keep your puppy at a healthy, lean weight throughout life.
  • Consider early screening: Some vets recommend PennHIP radiographs as early as 16 weeks for at-risk breeds to assess joint laxity and predict future dysplasia.

Frequently Asked Questions

Q: Can hip dysplasia be cured?
A: There is no "cure" that reverses the anatomical abnormality. However, with excellent management—including weight control, exercise, pain relief, and potentially surgery—most dogs with hip dysplasia can live full, happy, and relatively pain-free lives. The goal is to manage pain, maintain muscle mass, and slow arthritis progression.

Q: Is hip dysplasia always in both hips?
A: No. It can be unilateral (one hip) or bilateral (both hips). Often, one hip is more severely affected than the other. A dog with unilateral dysplasia will eventually develop problems in the "good" hip due to the increased load and compensation.

Q: My dog is already older and shows signs. Is it too late to do anything?
A: Never too late. While you can’t change the existing joint structure, aggressive management at any age can dramatically improve comfort. Weight loss, pain medication, joint supplements, and low-impact exercise can significantly enhance an older dog’s quality of life.

Q: How much does surgery cost?
A: Costs vary wildly by procedure, location, and clinic. A Femoral Head Ostectomy might range from $1,500-$3,000 per hip. A Total Hip Replacement can be $5,000-$7,000+ per hip. Always get a detailed estimate.

Q: Are there any home remedies?
A: While no home remedy will fix the joint, supportive care at home is vital. This includes maintaining a healthy weight, providing soft bedding, using ramps, and administering prescribed supplements/medications consistently. Always discuss any supplements or alternative therapies with your vet first.

Conclusion: Your Observation is Your Dog’s Best Defense

The journey of hip dysplasia begins long before a dog is unable to walk. It starts with a subtle limp, a moment of stiffness, a lost spark for play. What are the first signs of hip dysplasia in dogs? They are the quiet, often overlooked changes in movement and mood that speak volumes about underlying joint health. By knowing these seven key indicators—intermittent limping, difficulty rising, decreased activity, post-rest stiffness, bunny-hopping gait, muscle atrophy, and pain on manipulation—you empower yourself to seek help at the most critical stage.

Remember, a diagnosis is not an ending; it’s the beginning of a tailored management plan. Whether through vigilant conservative care or life-changing surgery, the goal remains the same: to keep your dog comfortable, mobile, and enjoying their life by your side. Your daily observations are the most powerful diagnostic tool available. Trust your instincts. If something seems "off" with your dog’s movement, schedule that veterinary appointment. Early intervention is the greatest gift you can give your dog’s joints, ensuring those wags and wiggles continue for all your tomorrows together.

First Signs of Hip Dysplasia in Dogs - Orthopedic Dog Beds
Early detection key in hip dysplasia cases
Hip Dysplasia dogs Flashcards | Quizlet